반응형

성공을 위한 금주의 중요성

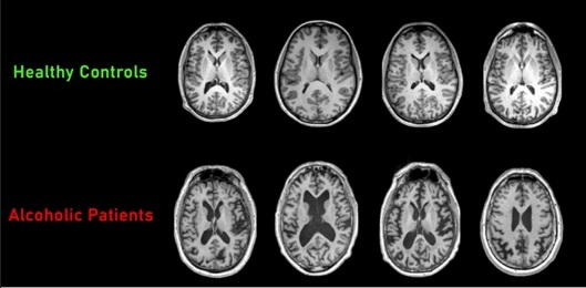
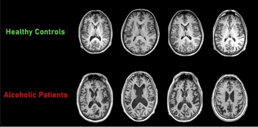
술을 마시면 무슨 일이 일어날까요?
술을 마실 때 일어나는 진짜 일은
우리의 뇌세포가 '마비'된다는 겁니다.

그 순간 뇌세포들은 말 그대로 좀비가 돼요.
그리고 다음 날, 파티가 끝나면
그중 일부는 죽어버립니다.
다시는 정상으로 돌아오지 않죠.

한번 생각해 보세요.
당신의 뇌가 당신이 가진
'가장 소중한 도구'라면,
성공과 행복을 향한 여정에서
'가장 귀중한 자산'이라면,
왜 그걸 스스로 망가뜨리겠습니까?

잠깐의 쾌락을 위해서요?
말이 안 되잖아요.
사람들은 종종 인생에서
무언가로부터 도망치려 합니다.
그리고 그 수단이 술이죠.

무엇으로부터 도망치는 걸까요?
문제는 뭘까요?
근본 원인을 찾아야 합니다.
당신의 마음은 뭔가 중요한
'중요한 메시지'를 전하려는 거예요.

하지만 대부분 '그 메시지'를
술로 덮어버리죠.
그건 일종의 정신적 진통제 같은 겁니다.
감깐은 효과가 있을지 몰라도,
결국엔 이자까지 붙여서
그 대가를 치르게 됩니다.

술은
'해결책'이 아닌
'진통제'일 뿐이다.
술이 만든 평온은 가짜 평온이다.

술을 마신다고
'문제'가 해결되지 않는다.
삶이 바뀌지도 않는다.
술은 잠깐의 위로일 뿐
결국 뇌를 마비시킨다.

고통을 지우지 말고
고통을 마주하라.
문제를 피하지 말고
문제에 직면하라.

술잔이 아닌
펜을 들어라.
진짜 삶의 문제를 마주하고
적극적으로 해결하라.

펜을 드는 순간
뇌는 다시 깨어난다.
손끝이 움직이는 동안
생각은 정리되기 시작한다.
생각이 정리하는 동안
삶은 서서히 제자리를 찾는다.

매일 10분,
한 문장이라도 써라.
필사는
감정을 정리하고
생각을 되살린다.

술은 기억을 흐리지만
글은 의식을 맑게 한다.
매일 한 문장이라도 쓰면
그 삶은 무너지지 않는다.
반응형
'소소한 생활 지혜' 카테고리의 다른 글
| ChatGPT와 사주, 고민 상담: 내 개인 정보, 정말 안전할까? (0) | 2025.11.19 |
|---|---|
| 빚 때문에 집 뺏길까 두렵다면? 개인회생 금지명령, 3일 만에 경매 중지시키는 비결 (0) | 2025.11.18 |
| ‘물 충분히 마셨다’ 착각할 수도...바쁜 직장인, 심각한 ‘수분 부족’ 신호는? (1) | 2025.11.13 |
| 김장 전에 떠나야 할 '제철 식재료 성지' BEST 3 (0) | 2025.11.11 |
| 챗GPT, 이력서 만들때 "여자는 젊고 남자는 유능" 전제 (1) | 2025.11.07 |